O custo de implantes dentários, explicado

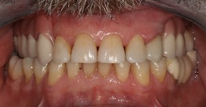
Os implantes dentários são, cada vez mais, a técnica de medicina dentária (reabilitação Oral) que muitas pessoas preferem para resolver definitivamente o(s) seu(s) problema(s) de saúde oral.

No passado, os implantes ainda eram vistos como uma técnica demasiado inovadora e um pouco arriscada, mas agora já não é assim.

A clássica dentadura postiça é crescentemente vista como uma técnica do passado, “utilizada pelas avós”, e as pessoas preferem o implante, pelas suas vantagens reais:

  • Dá um aspeto realista/natural.
  • É fácil de manter e conservar
  • Não obriga a uma retirada constante do aparelho, como acontece com as dentaduras e placas clássicas.
  • É muito mais confortável pois não é sentida como um corpo estranho dentro da boca.
  • É muito mais estético porque não há ganchos visíveis como em certo tipo de próteses.
  • Não estraga os dentes vizinhos pois a ancoragem é feita no osso ao contrário das próteses que acabam por criar cáries nos dentes em que se apoiam.

Estas vantagens são reais!

Contudo, ao mesmo tempo levam a que as pessoas julguem que os preços de implantes dentários serão demasiado altos para o seu orçamento.

Especialmente quando possa ser necessário substituir vários dentes em simultâneo.

Por outro lado, as pessoas receiam procurar opções de implantes dentários baratos com receio que a qualidade não seja a melhor. Leia o artigo Dentista low cost – o Barato sai caro

Mas não tem de ser assim. Vejamos quais os fatores que podem influenciar o preço de implantes dentários.

Que fatores influenciam o preço?

Material utilizado

É possível aplicar implantes dentários em diferentes materiais, como titânio ou zircónio.

  • Os implantes de zircónio pode ser que sejam uma boa opção no futuro, no entanto de momento são substancialmente mais caros e ainda não têm suficientes estudos clínicos nem previsibilidade do seu comportamento ao longo do tempo.
  • Os implantes de titânio pelo contrário tem dezenas de anos de experiência clínica, tanto na área de medicina dentária como em ortopedia. Ou seja tem uma excelente bio-compatibilidade comprovada. Sendo por isso sempre a minha opção com taxas de sucesso na minha experiência acima dos 95%.

Os materiais utilizados nas coroas também poderão variar no caso de coroas unitárias ou pontes, recorro habitualmente ao zircónio. No caso de reabilitações totais de arcadas podemos usar ou zircónio ou o acrílico reforçado internamente por uma estrutura metálica (substancialmente mais barato).

Resumindo, dependendo do material e da extensão da intervenção, o preço final pode ser mais barato/baixo do que imagina. Além de poder em muitos casos fasear todo o tratamento conforme a disponibilidade financeira.

Número de implantes

Quanto maior o número de implantes, mais caro será o procedimento. Mas será que todos os seus dentes precisam ser substituídos?

Como já disse várias vezes o dente é o melhor implante do mundo (Está a pensar colocar implantes dentários? Saiba tudo antes de tomar a sua decisão!) e portanto o implante é considerado um procedimento de último recurso, quando não há mais nada a fazer pelo dente.

A minha postura e de muitos dentistas é de restaurar e conservar dentes que ainda tenham a possibilidade de se manter saudáveis, e colocar implantes apenas no lugar de dentes sem salvação. Tal reduz o número de implantes a colocar, baixando portanto o preço.

O procedimento, no seu conjunto

Cada caso é um caso, e só falando com o cirurgião oral é possível ficar com uma ideia real relativa a preços. Nalguns casos, o dentista poderá mostrar os preços de próteses dentárias fixas sobre dentes naturais, caso chegue à conclusão que esta é uma solução preferível à dos implantes.

Localização do consultório

Como é de fácil compreensão os melhores especialistas estão em consultórios no centro de Lisboa ou outras capitais.

Escolher um consultório dentário situado na zona mais central de uma cidade, ou numa grande metropole, certamente fará com que as suas hipóteses de encontrar um profissional competente aumentem, face a escolher um consultório pelo factor preço de implantes fora do centro da cidade.

Pois a qualidade tem um preço, como veremos no ponto seguinte:

Experiência do médico

Este ponto é óbviamente da máxima importância. Um Dentista com larga experiência na área de Cirurgia pode abordar tanto os casos mais simples como os mais complexos.

Há também que preparar e estudar bem cada caso, não colocar Implantes sem a execução prévia de uma Tac que nos dá previamente a quantidade exacta de osso disponível bem como a sua densidade permitindo-nos eleger de antemão os implantes a colocar e evitar “surpresas” durante a cirurgia.

Marca de Implantes Colocados

Este ponto é também da maior importância: existem um sem número de marcas de Implantes no mercado com os preços mais variados.

Cabe ao médico escolher com base na qualidade e desempenho de cada marca e não do preço.

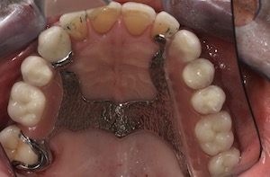
Reabilitação Sobre Implantes

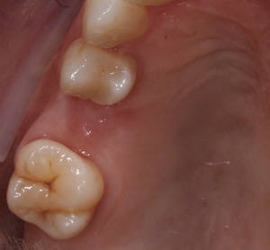
Tão importante como o Implante colocado é o que se vai colocar em cima dele… quer sejam coroas unitárias, pontes ou reabilitações de Maxilares Inteiros.

Além da parte estética muito importante (as estruturas colocadas têm que ser iguais a dentes naturais) o ajuste aos implantes tem que ser perfeito. Nesta área também os custos do laboratório variam muitíssimo e, mais uma vez, a escolha deve ser pautada pela excelência.

Que alternativas existem aos implantes dentários?

É preciso não esquecer que, ainda que esteja convencido que o implante dentário é a solução melhor ou mais adequada para o seu caso, existem alternativas. Dependendo da sua situação concreta, o médico dentista pode concluir que outras soluções lhe poderão servir melhor.

Para mim é ponto assente que o dente natural é o melhor Implante do Mundo por isso reservado a casos em que o dente ou já foi extraído ou não tem salvação.

As alternativas de forma concreta são:

1 – Recuperar dentes muito destruídos através de, por exemplo, tratamento de canal e colocação de coroa de cerâmica, em vez de uma extração e colocação de um implante e coroa sobre implante. Esta alternativa é melhor e mais económica que a segunda. Veja o caso Arrumar a casa

2 – Prótese fixa sobre dentes Naturais, a ancoragem de uma prótese fixa pode ser sobre o osso no caso dos implantes ou sobre dentes naturais. Esta segunda opção pode ser a indicada no caso de haver muito pouco osso ou de má qualidade ou quando querermos também recobrir com coroas os dentes vizinhos quando já estão muito destruídos.

3 – Escolher soluções mistas, ou seja, próteses removíveis assentes sobre implantes eliminando assim os ganchos que esteticamente e funcionalmente como já referimos não são uma boa opção.

O que faz com que os preços dos implantes dentários possam ser elevados?

Já vimos acima quais os fatores que influenciam o preço final desta técnica de saúde oral. Mais uma vez de referir que escolher implantes baratos vai-lhe custar mais a médio/longo prazo pois a solução não vai ficar do seu agrado a nível estético e funcional. Ver artigo dentista low cost – “o barato sai caro”.

O implante dentário é uma verdadeira cirurgia, ou “operação” como vulgarmente se lhe chama. O nível de conhecimento e experiência necessários para o executar vai além da simples medicina dentária. O facto de o implante precisar do osso do maxilar obriga a que o especialista consiga reconhecer se o seu maxilar está pronto para receber o implante, se tem que fazer algum tipo de enxerto ósseo, etc. O especialista não pode perceber só de dentes.

Além disso, o próprio processo envolve várias etapas:

  • A consulta é o primeiro passo. Será necessário avaliar o(s) dente(s) e a gengiva; caso se considere que o implante é a opção a adotar, será necessário fazer um raio X e uma TAC para avaliar o estado e a qualidade do osso do maxilar.
  • Em seguida vem a colocação do implante propriamente dito, que consiste, grosso modo, num parafuso que é solidamente fixado ao maxilar. Em alguns casos podemos colocar um dente temporário sobre o parafuso (implantes de carga imediata).
  • Após a cirurgia é preciso aguardar pelo processo de osteointegração, isto é, da “aceitação” do parafuso por parte do osso e do organismo, que dura normalmente entre 3 a 6meses.
  • A colocação da coroa definitiva sobre a estrutura do parafuso (e do pilar, se for o caso) será a última etapa. Em todo o caso, é necessário fazer algum acompanhamento posterior (através de consultas de revisão) para garantir que a presença do implante corre conforme previsto.

Como se vê, os preços de implantes dentários nunca podem ser muito baixos, pois implicam tempo, dedicação e conhecimento. Porém, são um investimento que vale a pena, principalmente se se considerar a sua comodidade e o facto de durarem muito tempo.

Entre em contacto e saiba se poderão constituir a solução dentária que precisa.