Dental implants are, more and more, the Oral Rehabilitation treatment of choice to replace missing teeth.
In the past, implants were still seen as a technique that was a bit risky, but that is no longer the case.
Dentures are increasingly seen as a technique from the past, “used by grandmothers”, and people prefer implants, for their advantages:
- Gives a realistic/natural look.
- It is easy to maintain, like natural teeth.
- It is fixed and does not require removal for cleaning, like dentures.
- It is much more comfortable as it does not feel like a foreign body inside the mouth.
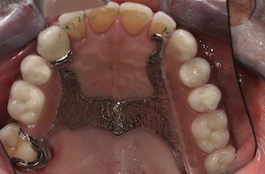
- It is much more aesthetic because there is no visible metal (hooks) as in certain types of removable prostheses.
- It does not damage the neighboring teeth because the anchorage is made in the bone unlike the dentures that end up creating cavities on the teeth on which they rest.
These benefits are real!
However some people may believe that the prices of dental implants will be too high for their budget.
Especially when it is necessary to replace several teeth at the same time.
On the other hand, looking for cheap dental implant options may lead you to poor quality choices. Read the article Low cost dentist – Cheap is expensive.
But it doesn’t have to be that way. Let’s look at what factors can influence the price of dental implants.
What factors influence the price?
Type of Implants/Type of Rehabilitation over Implants
Dental Implants are made from titanium or zirconium.
- Zirconium implants may be a good option in the future, however at the moment, they are substantially more expensive and there are still not enough clinical studies or predictability of their behavior over time.
- Titanium implants, on the other hand, have decades of clinical experience, both in dentistry and orthopedics. In other words, it has proven excellent bio-compatibility. Therefore, it is always my option with success rates in my experience above 95%.
The Implant is just the artificial root that is placed in the bone and, after a period of 3-6 months, we have to place the rehabilitation over it, like single crowns or bridges, usually from zirconium. In the case of total rehabilitation ( full arch) we can use either zirconium or acrylic reinforced internally by a metallic structure (substantially cheaper).
In short, depending on the material and the extent of the intervention, the final price may be cheaper/lower than you might think. In addition to being able, in many cases, to phase out the entire treatment according to financial availability.
Number of implants
The greater the number of implants, the more expensive the procedure will be. But do all your teeth need to be replaced?
As I have said several times, the tooth is the best implant in the world (Are you thinking of getting dental implants? Know everything before making your decision!) and therefore the implant is considered a last resort procedure, when the tooth is lost.
I always keep my patients teeth as long as possible, and place implants only when teeth cannot be saved. This reduces the number of implants to be placed, therefore lowering the price.
Office location
As it is easy to understand, the best specialists are in offices in the center of Lisbon or other capitals.
Choosing a dental practice located in the most central part of a city, or in a large metropolis, will certainly increase your chances of finding a competent professional, compared to choosing a practice based on the price of implants outside the city center.
Doctor’s experience
This point is obviously of the utmost importance. A Dentist with extensive experience in the area of Surgery can approach both the simplest and the most complex cases.
It is also necessary to prepare and study each case well, with a CTScan ( gives us the exact amount of bone available as well as its density), allowing us to choose in advance the implants to be placed and avoiding “surprises” during surgery.
Implants Brand
This point is also very important: there are countless Implant Brands on the market with very different performances and prices.
It is up to the surgeon to choose one based on the quality and performance and not on price.
Implant Rehabilitation
As important as the Implant placed is what will be placed on top of it, whether it is single crowns, bridges or full arch rehabilitation.
In addition to the very important aesthetic part (the structures placed have to look the same as natural teeth) the fit to the implants has to be perfect. In this area, laboratory costs also vary greatly and, once again, the choice must be guided by excellence.
What alternatives are there to dental implants?
You must not forget that, even if you are convinced that the dental implant is the best or most appropriate solution for your case, there are alternatives. Depending on your specific situation, the dentist may conclude that other solutions may serve you better.
For me, it is an established fact that the natural tooth is the best implant in the world, which is why it is reserved for cases in which the tooth has either already been extracted or cannot be saved.
Alternative choices to Implants are:
1 – Recover badly destroyed teeth through, for example, root canal treatment and placement of a ceramic crown, instead of extraction and placement of an implant and crown over implant. The first alternative is better and cheaper than the second one. See the case Tidying up the house
2 – Fixed prosthesis on natural teeth, may be indicated in cases where there is very little or poor quality bone or when we also want to cover neighboring teeth with crowns when they are already very broken down.
3 – Choose mixed solutions, that is, removable prostheses anchored on implants, thus eliminating the hooks that, aesthetically and functionally, are not a good option.
Implants, Step by Step:
- First Appointment. Clinical evaluation, if the implant is considered the best option an X-ray and CTscan will be required to assess the state and quality of the bone in order to choose the implant.
- Surgery: the placement of the implant itself, which consists, roughly speaking, of a screw that is solidly fixed to the bone. In some cases a bone gratf might be indicated. We can also place a temporary crown over the implant (immediate load).
- After the surgery, it is necessary to wait for the osseointegration process, which normally takes 3 to 6 months.
- Placing a permanent crown over the implant will be the last step.
As you can see, prices for dental implants can never be too low, as they involve time, dedication, expertise and expensive materials. . However, they are a worthwhile investment, especially if you consider their comfort and the fact that they last a long time.
Get in touch and find out if they are the solution you need.




